CASE REPORT
CASE REPORT
This article describes a predictable treatment protocol with Spark Clear Aligners, in a growing patient with Class II associated with deepbite.

The treatment protocol established for this patient included reciprocal movements: sequential distalization of upper molars, together with protrusion of upper incisors. It is important to point out that the goal in this case was to avoid inclination of upper incisors (proclination) and to achieve movement towards buccal (a range of 4.5mm) to help and gain the needed space for the canine eruption. With the goal of avoiding the disadjustment of the aligner during the treatment, simultaneous to the protrusion a buccal root torque was applied to those tooth of 2 degrees per aligner during that specific movement.
To ensure a good engagement between molars, Dr. Iván Malagón planned constriction and distal palatal rotation in tooth 1.6 ( helped by a vertical mesial bevelled attachment) and applying 12 degrees buccal root torque compensation to tooth 2.6 (planning the movements from the root with Spark approver).
An important tip that Dr. Malagón shares with this case is the fact of avoiding the placement of pontics – that in this case would be eruption guide as it is a growing patient – up until there is enough space. This is a benefit as the TruGEN™ material will be in close contact with the mesial face of 1.4 and distal face of 1.2 and as consequence there will be an optimal control of the tipping of these teeth.
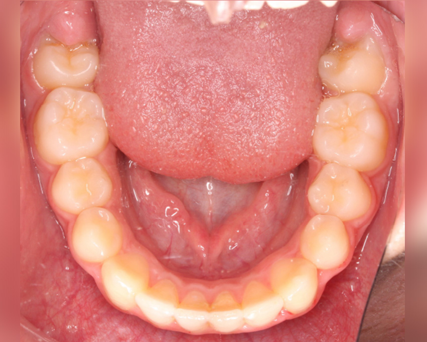
In the lower arch, anterior intrusion was planned together with proclination and in posterior teeth extrusion was applied and for that horizontal beveled attachments were placed on those teeth to extrude.
When finished the primary set of aligners, the space needed for the eruption of canines had been already achieved and during the treatment they already erupted and were almost aligned, needing only extrusion in the upper canines.
The refinement movements planned in the second phase were those of extrusion of upper canines (crossed elastics from palatal of upper canines to buccal of lower first premolars), extrusion of upper first molars and uprighting of lower second molars (vertical elastics), intrusion (occlusal beveled attachments) and overcorrection of upper incisors torque.
By the end of the treatment it is clear that the treatment protocol established was successful on regards of final tooth position and also by evaluating the response of the soft tissues to the orthodontic treatment and the correction of patient’s facial profile from its initial convexity. With Dr. Malagón’s treatment protocol, not only extractions were avoiding in this case but also interproximal reduction as all the space needed was achieved with movements like distalization, protrusion (upper), proclination (lower) and also expansion. Spark Aligners were the best option because Dr. Iván Malagón took advantage of the flexibility of the Spark Approver software to apply his protocols in terms of sequence of movements and selection of attachments, to get a good response of all periodontal tissues and avoiding extractions that could have lead to worsen the patient‘s profile.
* Dr. Iván Malagón is a paid consultant for Ormco. The opinions expressed are those of Dr. Iván Malagón. Ormco is a medical device manufacturer and does not dispense medical advice. Clinicians should use their own professional judgment in treating their patients.