CASE REPORT
CASE REPORT
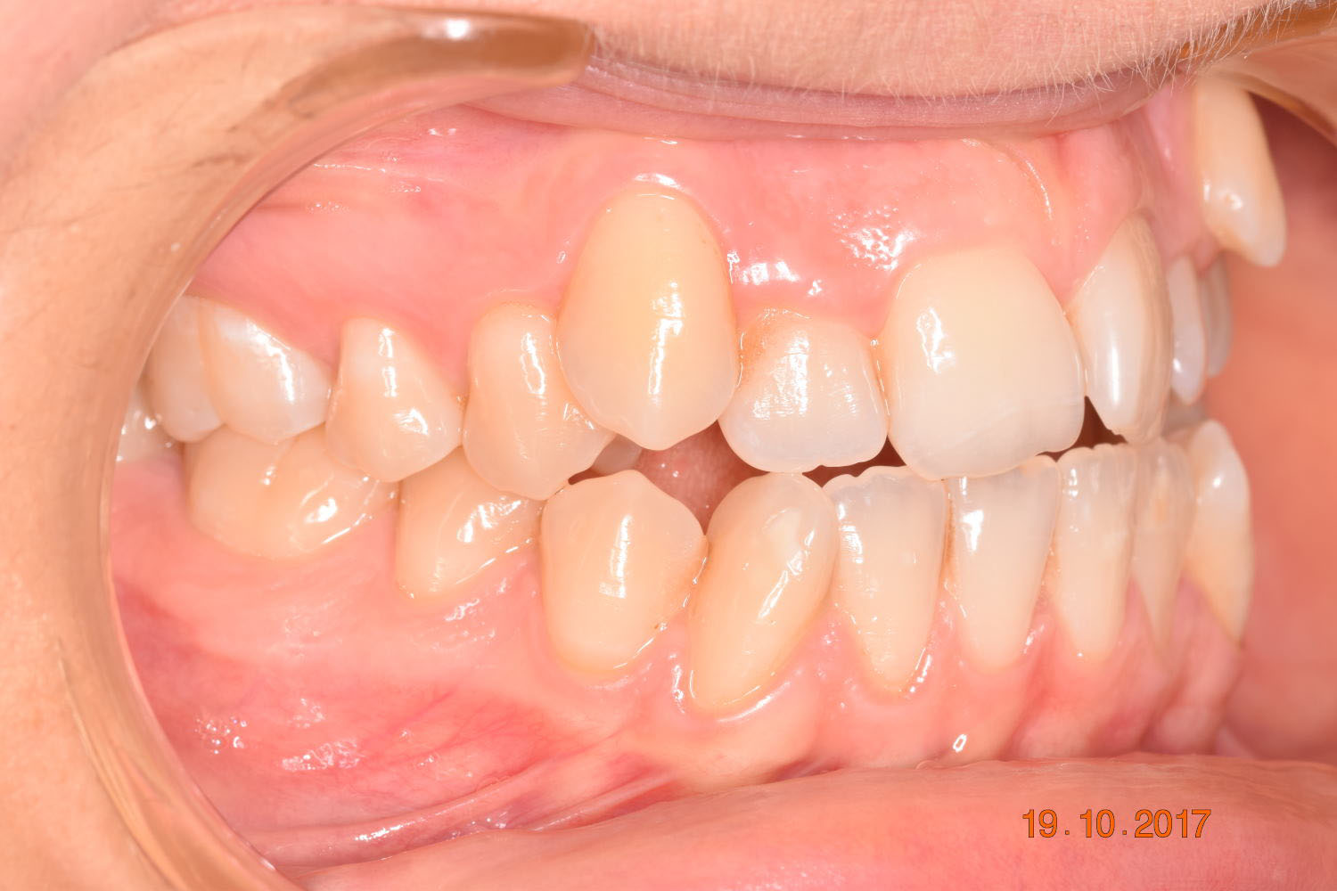
A 27-year-old female patient presented with class III malocclusion, 15 mm crowding in the upper arch, an anterior open bite, a lateral crossbite, and a total ABO score of 29. Her facial profile was straight with a retrusive maxilla, and the upper and lower incisors were retroclined. An extreme lack of midface support was also noted, and the constricted dental arches resulted in a poor smile width and dark buccal corridors. No myofunctional investigations were performed at the time, as they were initially considered unnecessary.
Dr. Claudiu Coca adopted the Damon Philosophy in 2016, which he applies to this case. For him, this case was a learning experience, and he shares it in the hope that other clinicians may benefit from his observations.
Dr. Claudiu Coca is a distinguished orthodontist with extensive experience in orthodontics and dentofacial orthopedics. He graduated in 2000 from the Faculty of Dentistry at Carol Davila University of Medicine and Pharmacy in Bucharest, Romania. In 2001, he began his academic career as an Assistant Lecturer in the Department of Orthodontics and Dentofacial Orthopedics at the same institution.
By 2004, he had specialized in orthodontics and dentofacial orthopedics and was promoted to Assistant Professor in 2005, a position he held until 2008. During this time, he continued to teach at the Faculty of Dentistry at Carol Davila University.
Dr. Coca has been an active user of the Damon Bracket System since 2010 and has incorporated the Damon Philosophy into his practice since 2016. He has treated over 600 orthodontic patients using the Damon system, all of which have been documented with photographic records.

Adhering to the principles of Face First Orthodontics, the primary objective was to increase midface support by expanding the upper maxilla, fixing the cross bite, and aligning the teeth. Closing the open bite was a secondary objective.
Dr. Coca’s treatment plan followed the Biology First Orthodontics approach, which aims to minimize biological interventions. The treatment plan avoided extractions, stripping, TADs, corticotomy, and RPE. Given the facial requirements, a non-extraction treatment option was chosen.
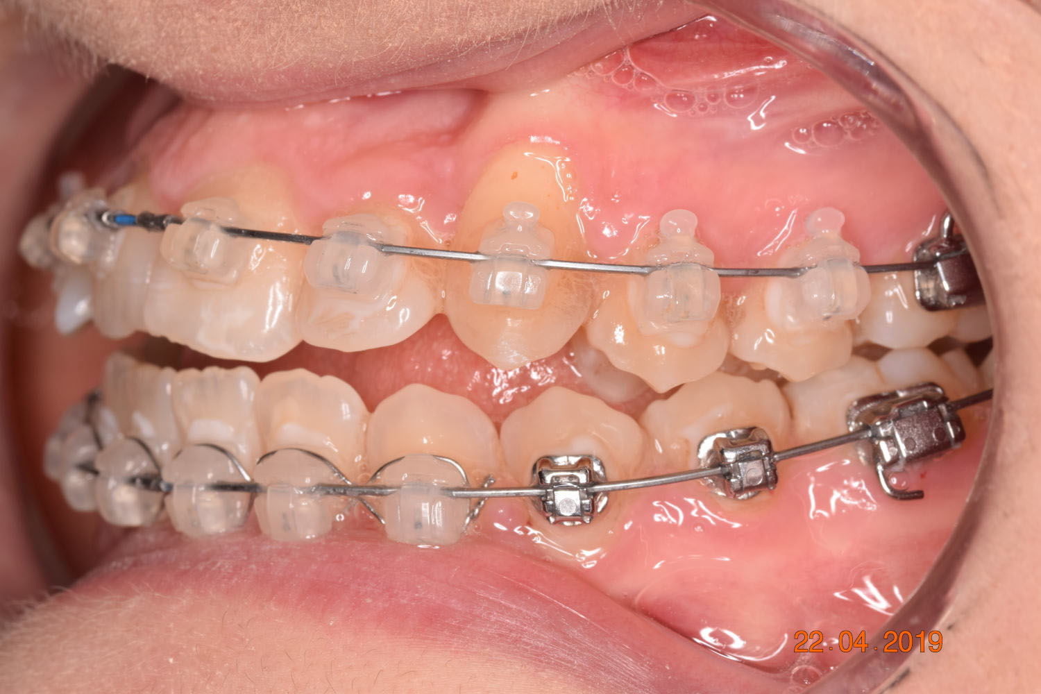
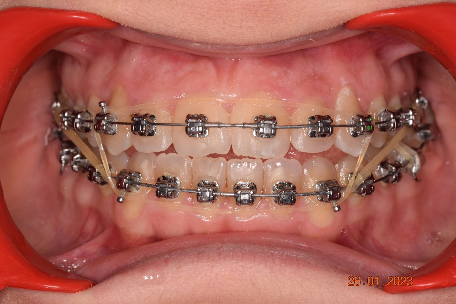
The treatment began in 2017. Given the patient’s preference for less visible brackets, Damon Clear brackets were selected. High torque upper cuspids and low torque upper incisors were chosen to offer the best torque control for upper arch development. For the lower arch, there were no alternative bracket configurations available. Bite turbos were applied to the upper second molars.
What Dr. Coca would do differently:
Observations:
Observations:
Observations:
Observations:
The results were unsatisfactory and the patient began losing interest in the treatment. Dr. Coca and the patient agreed to extend the treatment for six more months and then stop, regardless of the outcome.
Observations:
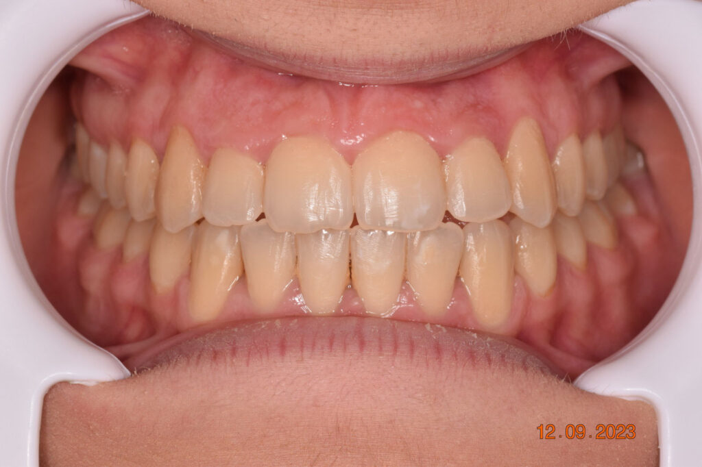
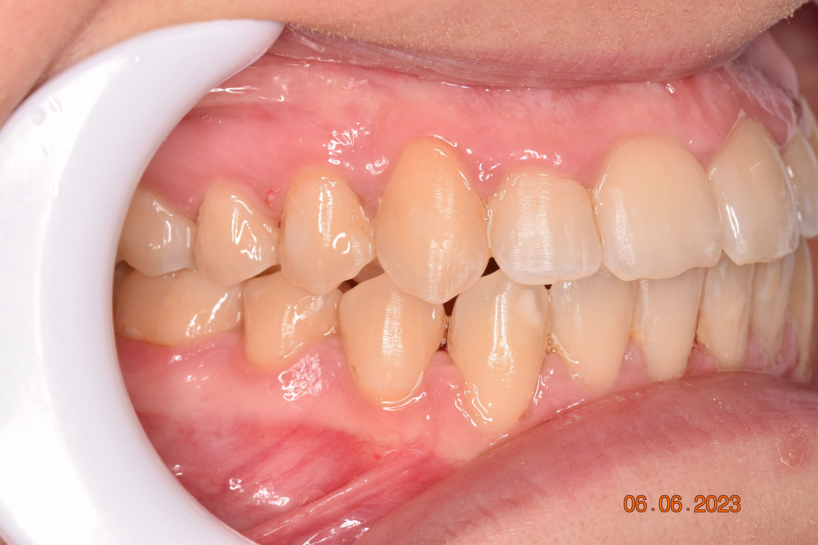
The teeth are in a very good position and the bone has reshaped.
Observations:
Observations:
This case posed challenges in all three spatial dimensions, compounded by significant crowding. The patient was highly compliant and maintained excellent oral hygiene throughout the 5.5 years of treatment, which required more than 30 clinical appointments.
The facial changes are impressive considering treatment involved only conventional orthodontics and not orthopedic interventions, TADs, or surgery.
Dr. Coca concludes that improved biomechanical understanding of extreme crowding and torque management could have reduced treatment duration. From his experience, proper force management can facilitate bone remodeling, challenging the idea of bone limitations in orthodontics.
Correcting muscle behavior during swallowing and in the passive state is key to solving open bite and crossbite as well as ensuring lasting stability of treatment outcomes.
Dr. Coca believes that with his current experience and insights, he could have completed the case within three years.
This case was a learning moment for Dr. Coca, reshaping his understanding of low-force, low-friction orthodontics (also known as Damon Philosophy) and highlighting the power of myofunctional therapy in achieving optimal treatment outcomes.
The Damon Ultima™ bracket system is an impressive feat of engineering, capable of delivering precise results in a short timeframe when used correctly. Traditional bone limitations in orthodontics can be challenged with any system that harnesses low, continuous forces, and this is where the Damon™ family of products shines.
The orthodontist’s ability to significantly improve a patient’s quality of life is remarkable, viewed from two standpoints:
MKT-24-1634
* Dr. Claudiu Coca is a paid consultant for Ormco. The opinions expressed are those of Claudiu Coca. Ormco is a medical device manufacturer and does not dispense medical advice. Clinicians should use their own professional judgment intreating their patients.